Fotografije iz otvorenih izvora
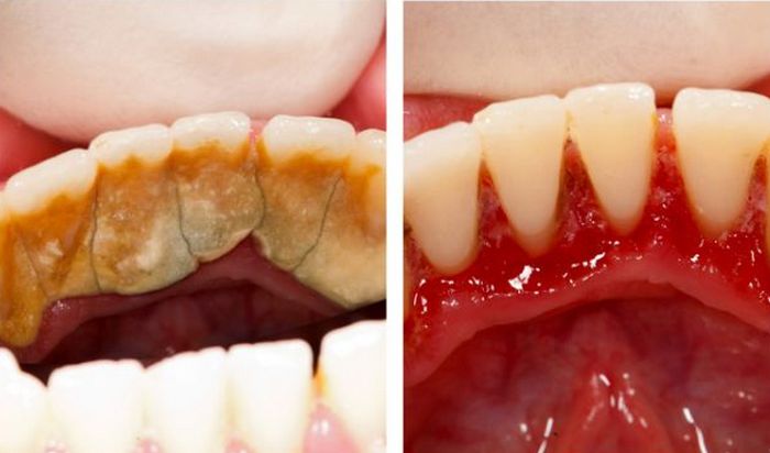
Bit će primarno riječ o tartanu, koji vam trebaju obavezno obrišite, u protivnom vas prije ili kasnije čeka parodontitis i tamo, i do ozbiljnijih problema – jedan korak. Ipak idite na zubar to ne želi. A sve je to skupo!
Srećom, postoji prilično jednostavan narodni recept koji Pomaže brzo i lako riješiti se ove zubobolje. A u budućnosti će vam ovaj alat omogućiti da zaboravite na tartar zauvek, kao i ostali problemi s usnom šupljinom.
Dakle, uzmite četrdeset grama školjki oraha, izlijte stavite ih uz čašu vode (200 mililitara) i kuhajte sve polako vatra dvadeset minuta. U dobijenoj juhi (kad se ohladi) potopite četkicu za zube desetak minuta (još bolje više nego manje). Onda s ovom četkom, bez ikakvih paste i ostalog Pažljivo peremo zube.
Fotografija iz otvorenih izvora
Postupak treba obavljati tri puta dnevno ako se liječimo zubarima kamen. Za nekoliko sedmica od bolesti će ostati samo sjećanja (naravno, sve zavisi od zanemarivanja same bolesti). U bilo kojem čistite slučaj tri puta dnevno dok tartar ne nestane u potpunosti.
Tada možete prijeći u preventivni režim – četkanje zuba orahova juha jednom dnevno. Ovaj lijek pomaže mnogo. samo tartar, ali i generalno čisti usnu šupljinu, zacjeljuje desni, drži zube jakim i zdravim do dubokih starost.
Ali šta je sa pastama za zube? Sjetite se šta ste svima učinili Slična zaraza profesora Preobrazhenskog u Pasjem srcu Mihail Bulgakov – u njihovoj peći, u šporetu!
Nakon toga, sami napravimo pastu za zube. U malom u staklenku, na primjer, od senfa, zasipamo tri kašike sode bikarbone (više nije potrebno, pasta bi trebala biti stalno svježa), dodajte nekoliko kapi limunovog soka i razrijediti do kaše hidrogen peroksid – sve, odlična tjestenina je spremna! Samo ne pretjerati kada perete zube, to je još uvijek soda – abrazivni materijal, bolje prst, samo prst, posebno dok masirate desni. I četkajte zube ispod na kraju, nakon što ste ga namočili u jušnu juhu. I neka vaša zubi će uvijek biti zdravi – bijeli i lijepi!
Kamenje
