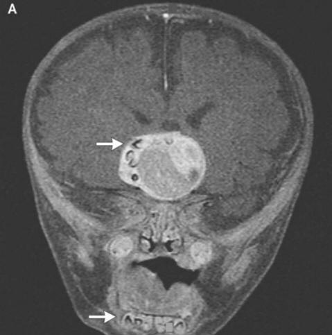
Hirurzi iz američke države Merilend morali su ga provesti najtežih operacija u njihovoj praksi. Roditelji četiri meseca dečki su oglasili uzbunu i posle otišli doktorima primijetili da im glava djeteta raste prebrzo. Ljekari obavili pregled i ustanovili da mu je zub porastao u mozgu pacijenta.
Fotografija iz otvorenih izvora Kako su uplašeni roditelji objasnili hirurzi i onkologa je to zbog formiranja rijetke urođene tumori – kraniofariniomi, piše New England Journal of Medicine. Ova neoplazma u velikoj većini slučajeva benigna, međutim, može narasti do veličine lopte golf i uzrokuje smanjenje osjećaja mirisa, oštećenje sluha i vida i povećava i intrakranijalni pritisak. Istraživači uvijek sumnja da su se ovi tumori koji se pojavljuju kod djeteta već ranije trudnoća, nastala iz istih ćelija kao i zubi, otkad su otkrili velika nakupljanja kalcijuma, ali pravi formirani zub prije ovog slučaja koji ne mogu pronaći računati.
Hirurzi su uspješno uklonili fotografiju iz otvorenih izvora Tumor, dečko, rekli su, ide dobro. Međutim zub koji odrastao mu je hipofiza, a opet je poremetio mozak, pravilna proizvodnja hormona – pacijent će ih morati ranije uzimati kraj života. Ovaj slučaj s pravom može zauzeti svoje mjesto popis najčudnijih operacija koje obavljaju onkolozi. U međuvremenu u mladić iz Irana, koji je morao liječite dlakave oči. Čudan mu se tumor u oku gotovo pojavio odmah po rođenju, međutim s dobi od 19 godina znatno se povećala u veličine (do 0,6 cm) i sprečavali zatvaranje kapka, osim toga, od njega ukočena kosa je počela rasti. Ljekari su mu uklonili tumor i to otkrili ovo je limbalni dermoid – izuzetno rijetko, obično benigne edukacije. Prema riječima ljekara u tom slučaju je ako je mladić nastavio da se povlači s lijekovima, njegova oteklina ne samo da može rasti kosu, već se i početi znojiti: s vremenom na neoplazmi se često pojavljuju odgovarajuće žlijezde.
Vreme
