Među mnogim ozbiljnim simptomima COVID-19, neobični neurološki efekti koje mnogi pacijenti doživljavaju smatraju se najneistraženijima.
Iznenadni gubitak mirisa i okusa bio je jedan od prvih neobičnih simptoma koji su prijavili pacijenti sa COVID-19, ali dokumentirani su slučajevi moždanog udara, napadaja i cerebralnog edema (nazvanog encefalitis).
Prema izvještajima i istraživanjima, neki pacijenti s COVID-19 također imaju zbunjenost, delirij, vrtoglavicu i poteškoće sa koncentracijom.
Nekoliko mjeseci liječnici su neumorno pokušavali razumjeti ovu bolest i njene brojne manifestacije koje utječu na mozak.
Da bi sumirali neke podatke koji se brzo akumuliraju, dva neurologa pregledala su studije koja ispituju kako COVID-19 narušava obrasce normalne funkcije mozga koji se mogu mjeriti EEG-om.
EEG, skraćenica od elektroencefalograma, bilježi električnu aktivnost u različitim dijelovima čovjekovog mozga, obično koristeći elektrode postavljene na vlasište.
U svom pregledu istraživači su objedinili podatke o gotovo 620 pacijenata zaraženih COVID-om iz 84 studije objavljene u recenziranim časopisima i na serverima pre štampe na kojima su podaci EEG talasa bili dostupni za analizu.
Analiza rezultata EEG-a može ukazati na neki oblik encefalopatije povezane sa COVID-om, kod ovih pacijenata – znakove pogoršanja ili oštećenja funkcije mozga.
Otprilike dvije trećine pacijenata u studijama bili su muškarci, a srednja dob bila je 61 godinu.
Među 420 pacijenata kod kojih je zabilježena osnova za EEG, najčešći uzrok bila je promjena mentalnog stanja: oko dvije trećine pregledanih pacijenata doživjelo je delirij, komu ili konfuziju.
Otprilike 30% pacijenata doživjelo je napadaj sličan napadu zbog kojeg je njihov liječnik naručio EEG, dok je nekoliko pacijenata imalo problema s govorom. Drugi su imali iznenadni srčani zastoj, što bi moglo ometati protok krvi u mozak.
EEG snimanja pacijenata pokazala su spektar abnormalnosti u moždanoj aktivnosti, uključujući neke ritmičke obrasce i epileptičke nalete aktivnosti. Najčešća uočena abnormalnost bila je difuzno usporavanje, odnosno opće usporavanje moždanih valova što ukazuje na opću disfunkciju moždane aktivnosti.
U slučaju COVID-a, ovaj poremećaj mogao bi biti rezultat široko rasprostranjene upale jer tijelo jača svoj imunološki odgovor ili moguće smanjenog protoka krvi u mozak ako su srce i pluća slabi.
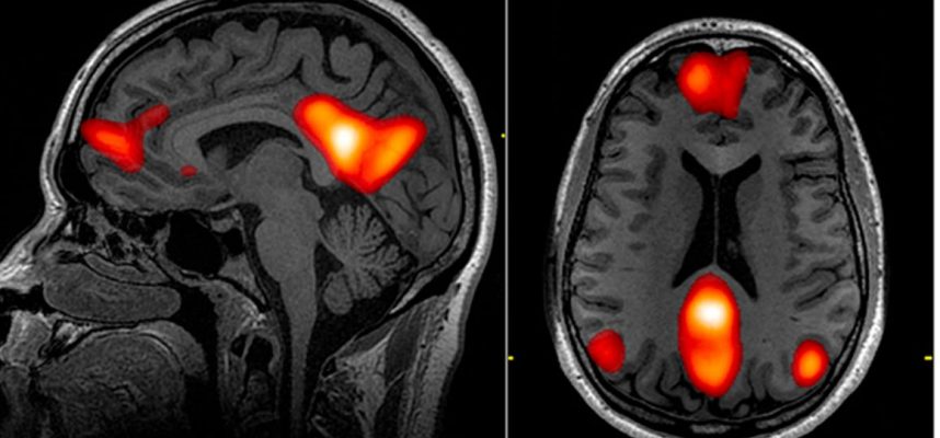
Što se tiče lokaliziranih efekata, trećina svih otkrivenih abnormalnosti pronađena je u frontalnom režnju, dijelu mozga koji obavlja izvršne zadatke razmišljanja, poput zaključivanja i donošenja odluka. Čeoni režanj nam također pomaže u regulaciji osjećaja, kontroliranju ponašanja i uključen je u učenje i pažnju.
“Ovi nam podaci govore da moramo isprobati EEG na širem krugu pacijenata, kao i druge vrste snimanja mozga, poput MRI ili CT, što će nam omogućiti da pažljivije pogledamo frontalni režanj”, rekao je neurolog i koautor studije Zulfi Hanif. sa Medicinskog fakulteta Baylor u Houstonu.
Vremenom EEG može pomoći u potvrđivanju dijagnoze COVID-19 ili nagovještavanju mogućih komplikacija. To bi moglo pomoći liječnicima u praćenju dugoročnih komplikacija COVID-19 i otkrivanju bilo kakvih dugoročnih učinaka na moždane funkcije pacijenta.
Nažalost, rezultati trenutno ne daju nikakve naznake koliko su rijetke ili česte ove smetnje moždanih valova u široj populaciji, jer su u analizu bili uključeni samo pacijenti sa COVID-19 koji su imali EEG test.
Ali dodaje sve više dokaza da bi novi koronavirus mogao ozbiljno utjecati na naše neurološko zdravlje.
“Potrebno je više istraživanja, ali ovi rezultati nam pokazuju da su to područja na koja se moramo usredotočiti dok idemo naprijed”, rekao je Hanif.
“Čini se da su EEG abnormalnosti koje utječu na frontalni režanj česte kod COVID-19 encefalopatije i predložene su kao potencijalni biomarker sa kontinuiranim bilježenjem”, pišu autori u svom radu.
Studija je objavljena u časopisu Seizure: European Journal of Epilepsy.
